「お口のコンサルタント(当院の歯科医師)」による、生涯安心して健康な歯で暮らしていくためのマメ知識をご紹介いたします。
お口の中の写真を撮ってもらったことがありますか? お口の中を見た目のとおりカメラで撮影するものです。口腔内写真・口内写真の撮影は、患者さまと歯科医師にとって様々な意味があります。
目次
実際の見た目のとおりの写真です。専用のカメラでスタッフが撮影します。肉眼で見えない内部を検査するものではありません。歯の表面や、歯ぐき、詰め物などの色、形、位置の記録となります。
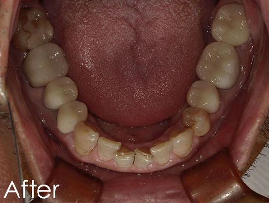
この患者さまは、奥歯の銀歯をジルコニアクラウンに変更しました。
体を通過するX線の透過率の違いにより、X線が通過した部分は黒く、通過しない部分は白く映ります。歯の根、骨、虫歯の深さを平面で確認するものです。重なり合った部分まで知る必要がある場合は歯科用CTの撮影を行います。
歯科用CTは多方向からX線を照射し、撮影した画像を解析して立体像を構成する撮影方法です。目視やレントゲンでは確認できない立体的な病変の広がり、位置関係、骨の状態や神経の位置まで正確に詳しく把握することができます。
この患者さまは、親知らずの痛みを訴えて来院されました。横の下顎の骨の中に大きな膿の袋、嚢胞が形成されています。木更津きらら歯科では歯科用CTを導入し、日本口腔外科学会専門医が在籍しており、このようなむずかしい症例でも診断できます。
お口の状態を把握する手段としては、口内写真、レントゲン撮影、歯科用CTがありますが、その中でも口内写真は、治療前の状態、治療後の状態、定期検診時などに撮影し、患者さまのお口の中を記録していくものです。口内写真は次のような目的で撮影されます。
レントゲンでも歯科用CTでもとらえられないもの。それは視覚情報です。歯ぐきの腫れ、色、歯の亀裂、磨き残し(プラーク)などを記録します。歯の表面の初期むし歯や微細な亀裂を早期に発見することができます。
歯科医師や歯科衛生士がご説明し、鏡でお口の中を見ていただいても、患者さんご自身が見づらい箇所だったらどうでしょう。口内写真で確認できれば、ご自身のお口の状態や悪い部分をご自分の目で見て確かめていただけます。言葉よりも写真のほうがわかりやすい場合も多くあるのです。それは医師の診断内容や治療方針、費用についてご理解・ご納得いただくことにもつながり、治療に前向きに取り組んでいただけるのではないでしょうか。
初診時に撮影した写真をもとに、歯科医師はむし歯や歯周病の進行具合を正確に把握することができます。どの歯を優先して治療すべきか、どんな順番で進めるかを明確にするための基礎データになります。拡大して細部まで確認できるため、治療の精度の向上に貢献します。また全体のバランス、歯並びや噛み合わせを記録し、矯正治療や審美治療、被せ物などの設計を行うための基礎データともなります。
「治療前と治療後でどれくらい変わったのか」を視覚的に実感していただけます。 “がんばって治療してよかった”という達成感を感じてください!
経過をおって撮影することは、むし歯や歯周病の進行度や治療後の経過を客観的に評価するために役立ちます。口の中は、毎日少しずつ変化しています。むし歯・歯周病・噛み合わせの異常・歯ぐきの炎症などは、初期段階では痛みがないことが多く、気づかぬうちに進行してしまうこともあります。そのため、目で見える形で記録しておくことで、「変化を早期に発見する」ことができるのです。
口内写真を定期的に撮影していると、数ヶ月〜数年の間に起こる小さな変化が見えてきます。歯ぐきの腫れや色の変化、歯ぐきの引き締まり具合、詰め物や被せものの劣化、微小な亀裂、歯のすり減り、噛み合わせのズレ、歯垢や歯石の付き方の違い。写真を並べて比較することで、わずかな異変にも気づくことができます。ブラッシングの改善点を見出すことで、予防歯科の観点でも重要な意味を持ってくるのです。
担当医師が変わっても、個々の患者さまのお口の健康を保つために必要なことを引き継ぐことができます。実は身元不明のご遺体の特定に貢献することもあるのです。
お悩み:ブライダル前に来院。前歯の色についてお悩みでした。
治療内容:自由診療のコンポジットレジン修復
治療期間:1日
治療期間:1回
金額:77,000円(税込)
リスク・副作用:歯を削らないといけない、しみる可能性がある
コンポジットレジン修復の特徴:色調が豊富なため、色が合わせやすく自然な色合いを再現することが可能です。
お悩み:歯ぐきの色がくすんでおり、健康的な歯ぐきの色をとりもどしたいとお考えでした。
治療内容:ガムブリーチ法を行いました。メラニン色素の沈着している黒ずんだ部分が、自然に剥がれる薬剤を塗布する方法です。
治療期間:1回10分
金額:22,000円(税込)
リスク・副作用:しみる可能性があります。
効果が実感できるまでに、1週間ほどかかります。
薬剤を塗布した部分が白濁します。
ガムブリーチ法の特徴:はじめに、歯ぐきと歯の境目(歯周ポケット)に沈着している歯垢・歯石をクリーニングし、黒ずんだ部分に薬剤を塗布します。1~2日で、黒ずんだ部分が剥がれてきます。数日後には、健康的なピンク色の歯ぐきに生まれ変わります。

お悩み:むし歯が気になる。
治療内容:奥歯の詰め物に対するジルコニアのインレー治療
治療期間:約2週間
治療回数:2回
金額:71,500円(税込)×2
リスク:ジルコニアインレーが割れることはありえます。
お悩み:歯の色が気になる
治療内容:オフィスホワイトニングで歯の白さをとりもどしてから、ご自分の歯の色にあわせてジルコニアセラミックを被せる治療を行いました。
治療期間:ホワイトニング:1ヶ月、ジルコニア:約2週間
治療回数:ホワイトニング:2回、ジルコニア:2回
金額:オフィスホワイトニング 44,000円(税
込)
セラミック治療 134,000円(税込)
リスク・副作用:ホワイトニング後はしみる可能性がある。ジルコニアセラミックを被せるために歯を削る必要がある。
口内写真を撮影する注意点。それは撮影するときの明るさや色調、ピントなどを常に同じ条件にして撮影することです。唾液や器具等が映ってもいけません。伝えたい情報を正しく同じ条件でとらえることで、より正確な比較をすることができます!
口内写真撮影は専用のカメラですぐ完了します。大きく口を開けていただいて、歯の状態がよく見えるように唇を専用の器具で引っ張ることがありますが、患者さんにご負担がかからないよう、手早く撮影いたします。
お口の中をじっくり見る機会は、日常生活ではあまりないかもしれません。口内写真は、お口を知ることで健康を守る、身近な方法です。患者さまがご自分のからだの状態を理解し、歯科医師が正確な診断を行う助けとなります。口内写真を撮影する機会があったら、ぜひじっくり医師の説明を受けてみてくださいね。