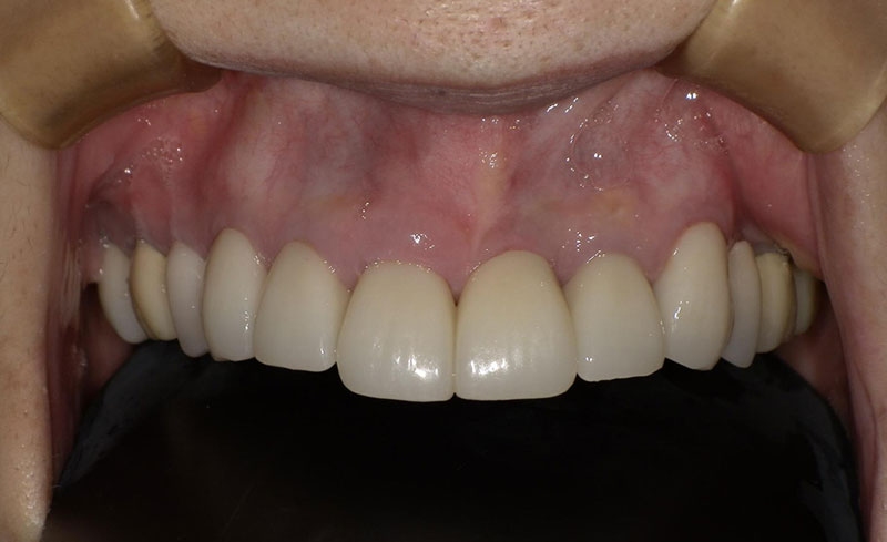
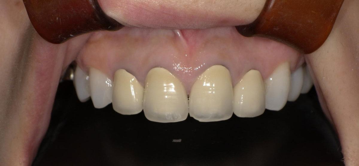
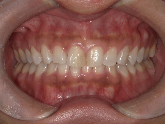
傷んだ歯を自然な色合いで修復し口元の美しさを整えます。
口をあけて笑うことができない
口元の機能と美しさをとりもどしたい
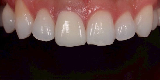
自然な白い歯にしたい
金属アレルギーがある
短期間で治療したい

セラミック素材の歯は、保証期間7年と長持ちします。からだに優しく、金属アレルギーから口内炎などが起こりやすい方にも適しています。
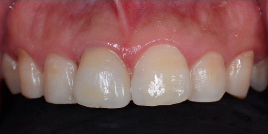
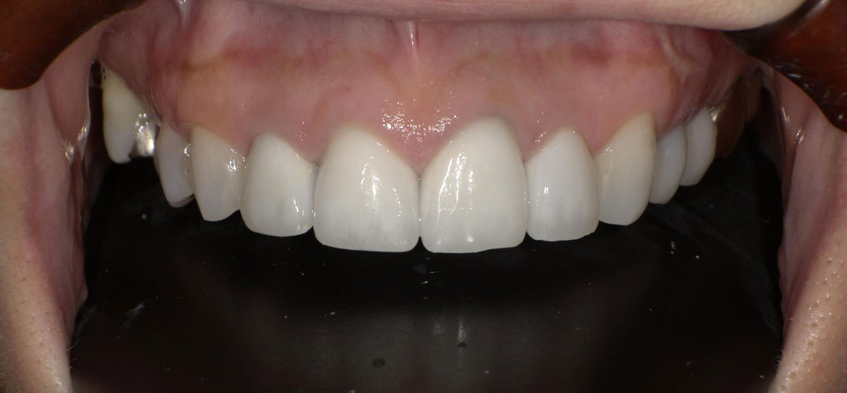
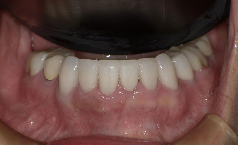
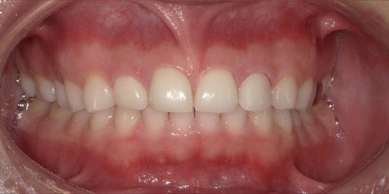
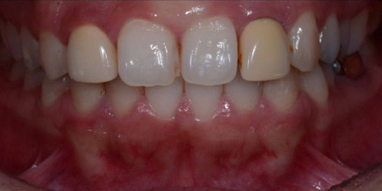
セラミックの歯は、自分の自然な歯の色を選ぶことができます。審美的に美しく、笑顔にも 自信が持てます。
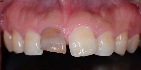
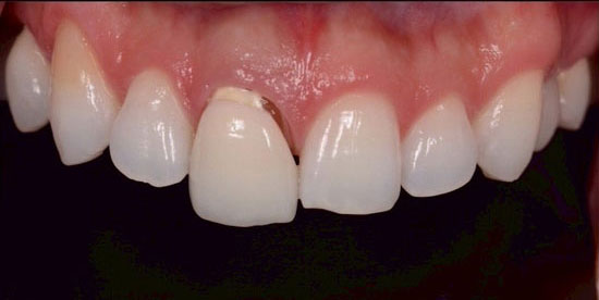
セラミックの人工歯を被せることで、大きすぎる歯、小さすぎる歯、すきっ歯を整え、歯列の機能と美しさをとりもどすことができます。
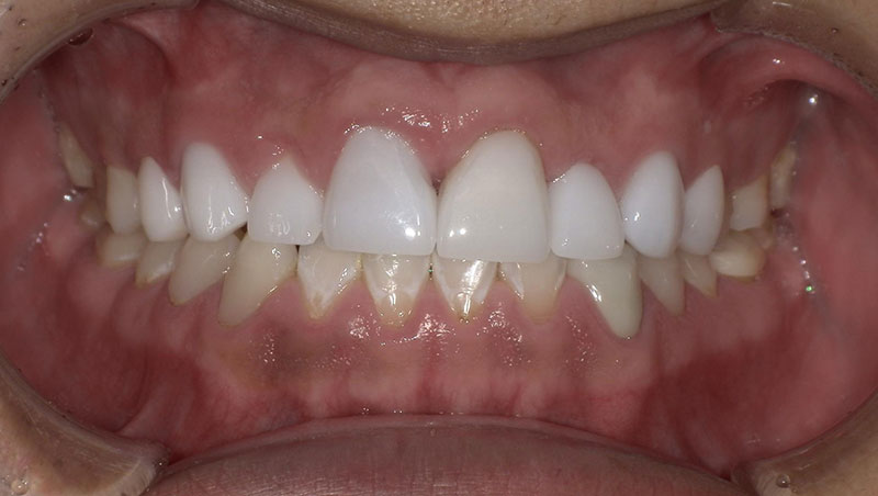
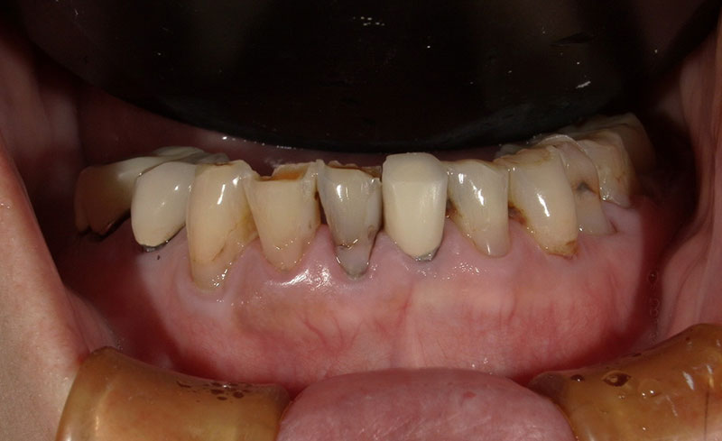
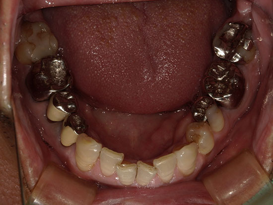
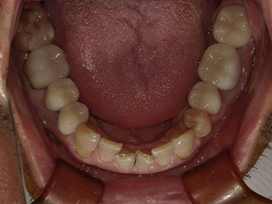
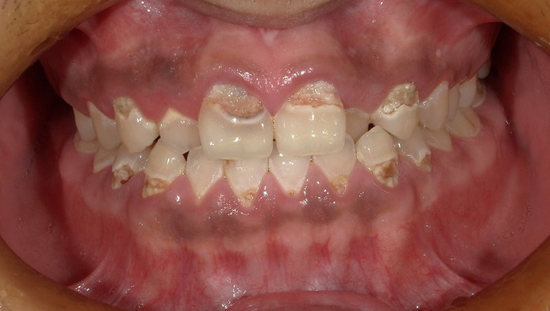
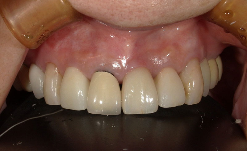
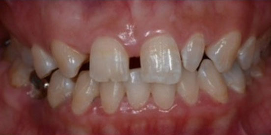
笑ったときに見えてしまう銀歯が気になりませんか? 過去に治療された銀歯を、セラミック素材で修復することもできます。
セラミックにはいろいろな種類があり、ご自身の歯になじむ自然な美しい色合いや、耐久性、体への親和性を考えて、素材を選ぶことができます。
いろいろな白い歯自然な白さを持つセラミック製の歯を被せる施術です。
お電話、メールでお問い合わせください。