インプラント 当院の方針/インプラントの正しい知識/専用医療機器/治療メニュー/治療の流れ/症例/患者さまへ

お陰様で、口コミの患者様が増えています。

おいしく食べること。朗らかな会話。失った歯をとりもどせば再びあなたのものになります。

インプラントは体内に埋め込まれる器具を表す言葉です。歯科医療では失われた歯の根のかわりに人工の歯根を埋め込む治療法を指し、高度な外科手術を伴うため、医師の技術はもちろん、患者さまのお口の中の状態や全身の状態のすべてを考慮する適切な施術方法のご提案が必要です。

木更津きらら歯科では、高度な技術の治療にも対応できるインプラントを専門とする歯科医師が、丁寧なカウンセリングでお口の状態とお悩みをお聞きし、患者さまの疑問やご不安に親身によりそい治療計画をご提案いたします。

お悩み、ご要望をお教えください。

当院の方針

10年保証

底的な術前検査

療後の定期メインテナンス

インプラント治療は高度な外科治療です。患者さまの安心・安全を第一に、手術前、手術後も長く患者さまのかかりつけ医としてケアをさせていただきます。

●10年保証
インプラントはどれくらいもつの? とご不安をお持ちでしょうか? 当院で施術したインプラントは10年間の保証をいたします。定期メインテナンスをきちんと受けていたにも関わらず、インプラントが抜け落ちたり破損してしまった場合に無償で治療します。

●安全な手術のために徹底的な検査をします
インプラント治療は患者さまのお口の状態だけではなくお体の状態を考慮した上での手術となりますので、既往歴、現病歴の有無やアレルギーについてお聞きします。また個々の患者さまにふさわしい治療計画を提案するため、事故、むし歯、歯周病など歯を失った原因、失った歯の本数、お口の中の状態、骨格や硬さといった骨の特徴、噛み合わせ、顎関節に異常はないか、などを把握します。お口の中の検査で、虫歯や歯周病、噛み合わせの問題などがあれば、治療のスケジュールを検討します。 当院では1回の放射線量が非常に少ない3D画像撮影が可能な歯科用CTを備えており、患者さまの負担を軽減しながら正確で徹底的な検査をいたします。

●メインテナンスについて
インプラントの大敵は歯周病です。埋め込んだインプラントの周囲の歯ぐきや骨が炎症を起こしたり傷んだり、やせてしまうと、ものがうまく噛めなくなったり、最悪の場合はインプラントが抜け落ちてしまうこともあります。インプラントを長持ちさせるために患者さまご自身で歯磨きやデンタルフロスでのケアをしていただくのと同時に、当院でも定期的なケアをしていきます。3か月に一度程度、ご来院ください。

インプラントの正しい知識

インプラントは「移植する、埋め込む」ことを意味する言葉で、体内に埋め込まれる器具を総称します。人工関節や骨を固定するボルトなどもインプラントの1種です。歯科医療のジャンルでは歯を失ったところに埋め込む人工歯根を指します。顎の骨にチタン製のねじ状の歯根を埋め込み、そのうえに人工歯を被せます。チタンは骨と結合する性質を持っており、比較的体に負担をかけません。

失った歯を復元する方法として、いわゆる差し歯、ブリッジ、義歯(入れ歯)があげられますが、差し歯は、残っている歯や根に人工歯を差し込む治療法です。ブリッジは外科手術がないので体に負担が少ない反面、隣接する歯を削って土台とし人工歯を支えるため、健康な歯に負担がかかります。また歯や根そのものがない場合は、差し歯もブリッジもできません。義歯は保険診療が可能な反面、どうしても違和感や痛みが伴いがちです。そのようなときの第三の治療法として、インプラント治療を選択することができるのです。

埋め込まれた人工歯根は顎の骨にしっかり固定されるので、自分の歯のように違和感を覚えず咀嚼することができるようになります。インプラント治療の成功率は一般的に20年累積残存データとして、上顎90%以上、下顎95%以上と言われています。これは上顎の骨質が下顎より弱いためです。40年以上使用している患者さまもいらっしゃいます。

インプラントのできない方

インプラントは患者さまのお体の状態が大きく影響する外科治療です。また異物を体内に埋め込むので、日常的なケアを心がける必要があります。そのような理由から、インプラント治療ができない方もいらっしゃいます。以下の方はインプラント治療ができません。

  • 顎の骨の成長が十分に終わっていない若年の方
  • 歯磨きやプラークコントロールなどの日常のお口のケアが苦手な方
  • チタンへのアレルギーを持っている方
  • アルコール依存症の方
  • 服用されているお薬によってはインプラント治療はできません
  • 全身疾患がコントロールされていない方
  • 歯科医師との意思疎通がとれない方

インプラント治療ができない場合でも、代わりとなるより良い治療をご提供できるよう、カウンセリングをいたします。

インプラント治療の専用医療機器

3Dレントゲン撮影対応 歯科用CT

3D画像で撮影可能な歯科用CTです。1回の放射線量が従来のCTと比較すると非常に少なく、患者さまへ負担の少ない治療が行えます。

ノーベル・バイオケア社のソリューションを採用

世界的に最も実績をもち、高い評価を受けているノーベル・バイオケア社製のインプラント歯科治療システムを採用しました。お口の中や周囲の構造と人工歯などの状況を解析し、確実な治療を実現します。

ガイディッドサージェリー

ノーベル・バイオケア社のガイドソリューションです。同社の膨大な実績をもとにした標本を参考に、個々の患者さまにふさわしい治療方法を導きだします。

生体モニター

血圧、脈拍、動脈血酸素飽和度(spO2)を観測する機器です。血圧、脈拍、動脈血酸素飽和度(spO2)を測定することにより、安心・安全な治療が行えます。

インプラント治療メニュー

インプラントには様々な手術方法があります。また土台となる骨をつくったり再生したりする治療が発生する場合もあります。患者さまのお口の状態やお体の状態にあわせて、最適な治療計画をご提案いたします。

二回法

ほとんどの方に適応できる手術です。インプラントを顎の骨に埋め込む手術の後、インプラントが骨と結合する期間をおいて、歯ぐきを開いてインプラントの頭を出し、人工歯と結合する連結部分を装着する治療をします。
インプラントが顎の骨にしっかりと結合したのを確認してから次の段階へ進むもので、感染症のリスクの高い方や全身疾患をお持ちの方にも適しています。

二回法の治療の流れはこちら

一回法

1回法では、大きめのキャップを取り付け、口腔内にそのキャップが見える状態にして終了し、治療期間を経た後でそのまま仕上げの治療にはいれるようにします。

フラップレス

立体CTスキャンやコンピュータのシュミレーションプログラムを駆使して、口腔内のガイドのようなものを作成し、ガイドに従って歯肉を切ることなくインプラントを埋め込みます。
手術は1回だけで、腫れも少なく術後も痛みが少ないのが特徴です。
当院はフラップレスにも対応できます。目視をせずにガイドに従って手術を行うことになるので、太い舌動脈に隣接する下あごの手術には十分な検討と高度な技術が必要です。

All-On-4(オールオンフォー)

最少4本のインプラントで複数の歯を支える治療で、多くの歯をなくした方、総義歯(総入れ歯)の方の歯を復元できる治療法です。
インプラントは2本を前歯に垂直に、2本を奥歯の部分に角度をつけて埋め込みます。十分な長さのあるインプラントを傾斜して埋め込むことで、骨とインプラントの接触面が大きくなり、骨量が少なくても歯を支えることができます。前歯のインプラントは状態の良い骨に固定します。最少4本のインプラントで、最大12本の人工歯を支えることが可能です。
多くの歯を失われた方の治療は、骨の移植が必要だったり、10本以上ものインプラントを埋め込まなくてはならないこともあり、手術の負担が大きく、治療時間がかかり費用も増大してしまうものでした。All-On-4(オールオンフォー)はそのようなご不安やご負担を解決する治療法です。

骨の移植(GBR)

インプラントを埋め込むにあたって、土台となる顎の骨に十分な幅が必要です。骨移植は自分の骨または人工骨を使用します。多くの場合、下顎の中央部や親知らずの奥の部分の骨を採取して、必要な所に移植します。採取した個所は自然に復元します。
自分の骨または人工骨を骨の足りない箇所に補い、人工膜で覆って、歯肉を被せ縫い合わせます。
下顎で3か月、上顎で6か月程度で骨が結合されますので、インプラント手術に進むことができます。

ソケットブリザベーション

歯を抜くと、歯があった部分の骨はやせていき、2、3年の間に5割前後までなくなってしまうと言われています。抜歯後すぐにインプラント治療が開始できればいいのですが、インプラントは骨に埋め込むものですので、骨の吸収が著しかったり感染があったりすると、少し時間を置く必要があります。
ソケットブリザベーションは、抜歯してできた穴に人工骨や自分の骨をいれ、定着させる方法です。抜歯した穴に骨が定着すれば、インプラント治療を進めることができます。

リスク・副作用:補填材と骨が結合しない場合がある。外科処置時に一時的な痛み・歯肉膨張が起こる場合がある。

ソケットリフト

ソケットリフトとは、上顎の奥歯近くにインプラントを埋め込みたいとき、骨が薄い場合に行う手術です。
口腔内からのアプローチにより、骨や骨補填材を移植して厚みを確保します。骨の量が5mm以上ある場合にソケットリフトを選択します。
もっと骨が薄い場合は、サイナス(上顎洞)リフトを選択します。

サイナスリフト(上顎洞底挙上術)

サイナス(上顎洞)とは鼻の周り、目の下にある空洞です。サイナス(上顎洞)までインプラントがつきぬけてしまうほど、骨が薄い場合は、サイナス(上顎洞)の一部分に骨をつくるする手術をします。
頬側の歯肉をはがして骨を一部とりのぞき、空洞の外側の膜を持ち上げて隙間を作ります。その隙間に骨や骨補填材を移植します。
骨がつくられるまでに6ヶ月程度の時間を要します。

即時荷重法

インプラント埋入した直後に、二回法のように骨が結合する期間を設けず、仮の人工歯を付ける治療法です。
一定期間の後に最終的な人工歯を装着しますので、治療全体の期間はあまり変わりませんが、インプラント埋め込み後、すぐに食事などができるようになります。審美的にも手術をしてすぐに美しい歯を復元できます。
ただし骨の結合を妨げないように、患者様ご自身での注意が必要になってきますので、適応する症例かどうかは慎重に検討が必要です。

インプラントブリッジ

複数の歯が失われた場合、それより少ない本数のインプラントを支えとしてブリッジをかけ人工歯を装着する方法です。
通常のブリッジ治療をしたがぐらつく、入れ歯にしたくない、失われた歯の本数が多く通常のブリッジ治療が困難、という場合におすすめします。

オーバーデンチャー(インプラント義歯)

インプラントを義歯(入れ歯)のはめ込み部として利用する治療法です。下顎でしたら最少2本のインプラントを用いて、義歯を固定することができます。
義歯がしっかりと固定され、浮き上がったりずれたりしないので、さけていたものを噛めるようになり、安心して会話を楽しむことができるようになります。
義歯の取り外しや装着は、従来の義歯のように患者さまご自身で行うことができます。

オーバーデンチャーの使用例

テンポラリーインプラント(暫間インプラント)

テンポラリーインプラントとは、インプラントが骨と結合するまでの数か月間、仮歯を支える補助的なインプラントです。
テンポラリーインプラントを併用することで、骨とインプラントが結合される期間もものを噛んで食事ができますし、審美的にも有効です。

治療の流れ

インプラント治療は平均して約3~6ヶ月の時間が必要です。

例として二回法の治療の流れをご紹介します。インプラントを埋め込む手術の後、上顎でしたら2ヶ月〜6ヶ月、下顎でしたら1ヶ月半〜3ヶ月程度の定着期間を置いて、歯ぐきを開き、人工歯の接合部分を取り付ける治療を行います。インプラントを埋め込んだ歯肉部分が十分治癒するまでの時間を設けるので、感染のリスクが低くなる方法です。二回法はほとんどの方に適応できる手術です。

1.精密検査と治療計画

検査とカウンセリングに基づき、治療計画を決定します。

2.1次手術

歯ぐきを切開して顎の骨にインプラント(人工歯根)を埋め込みます。1~3時間程度を要します。当院では衛生面はもとより、プライバシーや安全面に配慮した完全個室のオぺ室をご用意しています。入院の必要はありません。

3.定着期間

チタン製のインプラントが顎の骨としっかり結合して定着するまで、上顎で2ヶ月〜6ヶ月程度、下顎で1ヶ月半〜3ヶ月程度の時間が必要です。

4. 2次手術

インプラントには歯冠部分(上部構造)と歯根部分(インプラント体)に分けられます。2次手術では歯ぐきを開き、歯冠部分と歯根部分を連結する支台(アバットメント)を装着する治療を行います。

5. 人工歯の装着

いよいよ人工歯を被せる段階です。型取りをして技工士と相談しながら、患者さまの口元や他の歯の状態になじむように、人工歯を作成します。人工歯をかぶせてインプラント治療は完了です。

メインテナンスについて

インプラントの大敵は歯周病です。埋め込んだインプラントの周囲の歯ぐきや骨が炎症を起こしたり傷んだり、やせてしまうと、ものがうまく噛めなくなったり、最悪の場合はインプラントが抜け落ちてしまうこともあります。インプラントを長持ちさせるために患者さまご自身で歯磨きやデンタルフロスでのケアをしていただくのと同時に、当院でも定期的なケアをしていきます。3か月に一度程度、ご来院ください。

症例

インプラント治療によって、口元が美しく健康的に生まれ変わった患者さまの例をご覧ください。インプラント治療は患者さまによってそれぞれ異なります。素材の選択、本数、骨を補強する治療などの組み合わせにより料金も変動します。患者さまにふさわしいご提案をさせていただきます。

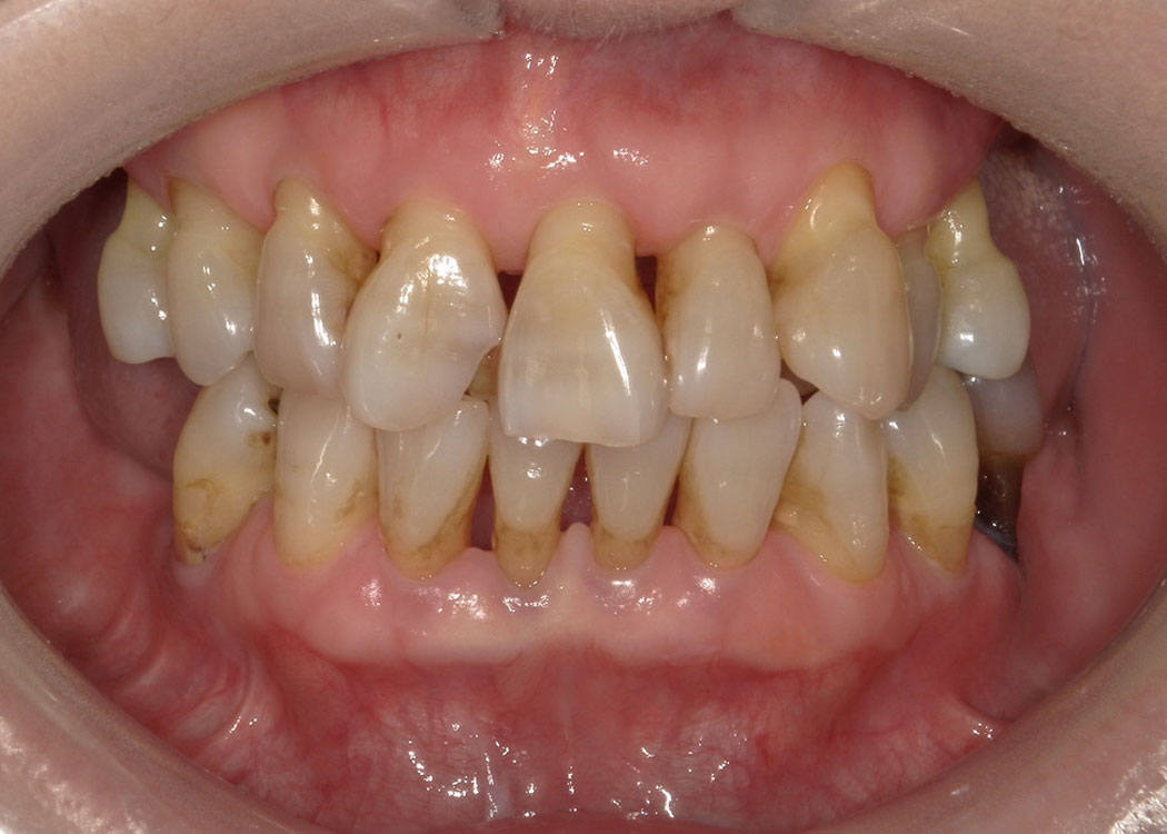
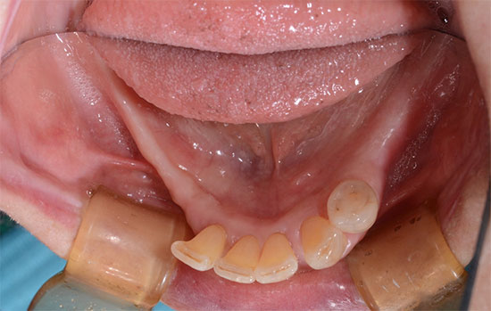
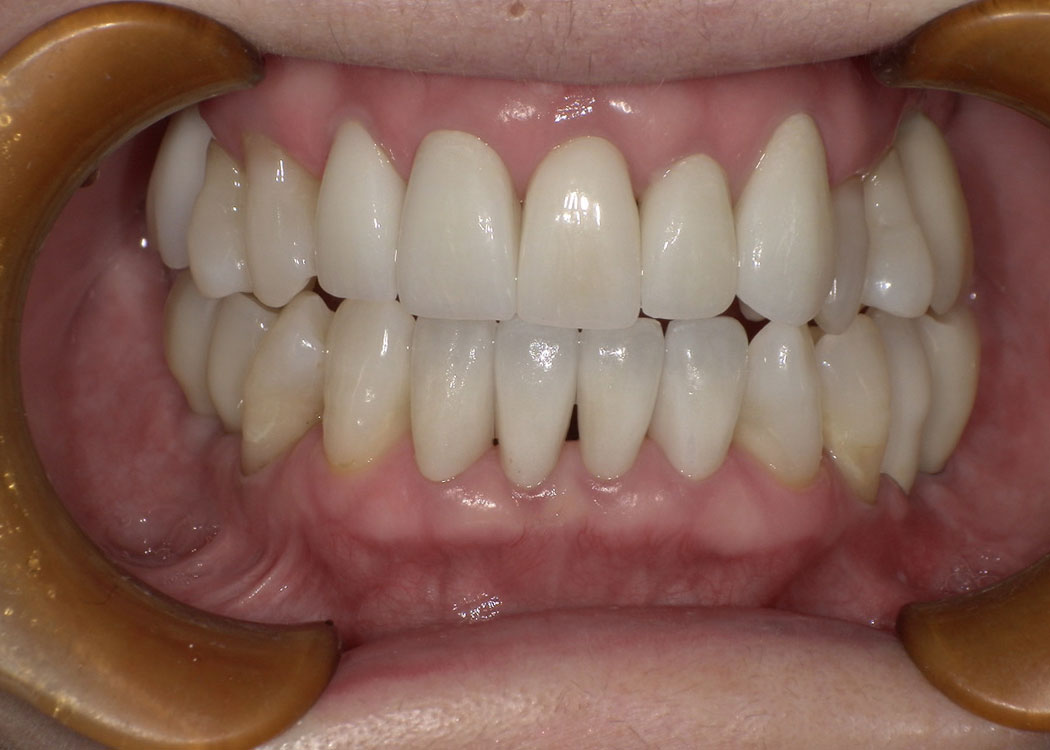
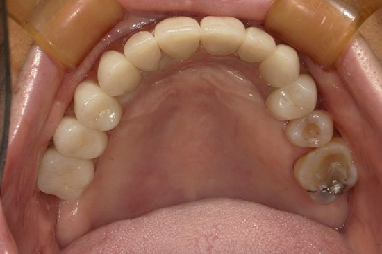
男性Aさん(50代・自営業)

重度歯周病に対する歯周病治療・矯正治療・インプラント治療
このケースの歯周病治療は保険診療。矯正治療およびインプラント治療は保険外診療。

詳しい治療内容をみる

Before
After
女性Bさん(20代・大学生)

お悩み:交通事故による前歯の欠損
治療:インプラント治療
治療期間:3ヶ月
治療回数:5回
リスク:外科処置のため、腫れと痛みを伴う事があります。
金額:
CT撮影、診断料 16,500円(税込)
手術用ガイド制作 60,500円(税込)
インプラント 286,000円(税込)
上部構造 143,000円(税込)

保証:
上部構造5年、インプラント体10年

Before
After
女性Oさん(70代)

お悩み:義歯(入れ歯)が合わず、噛むことができない
治療:オーバーデンチャー(インプラント義歯)
治療期間:3ヶ月
治療回数:7回
リスク:外科処置のため、腫れと痛みを伴う事があります。
金額:
CT撮影、診断料 16,500円(税込)
手術用ガイド制作 60,500円(税込)
インプラント 286,000円(税込)×4
インプラント義歯 440,000円(税込)
保証:
上部構造5年、インプラント体10年

Before
インプラント埋入後

After
70代女性

お悩み:入れ歯が合わなくて噛めない
治療:インプラント治療
治療期間:4ヶ月
治療回数:6回
リスク:外科処置のため、腫れと痛みを伴う事があります
金額:
3,223,000円(税込)

保証:
上部構造5年、インプラント体10年

Before
After
70代女性

お悩み:入れ歯が合わなくて噛めない
治療:インプラント(インプラント5本・上部構造6本)
治療期間:4ヶ月
治療回数:6回
リスク:外科処置のため、腫れと痛みを伴う事があります
金額:
2,365,000円(税込)

保証:
上部構造5年、インプラント体10年

Before
After
70代女性

お悩み:人前で口を隠さず笑いたい
治療:インプラント5本、ジルコニアオールセラミッククラウン12本
治療期間:6ヶ月
治療回数:15回
リスク:
インプラント:外科処置のため、腫れと痛みを伴う事があります
ジルコニアオールセラミッククラウン:歯を削る
金額:
4,015,000円(税込)

保証:
上部構造5年、インプラント体10年

Before
After

料金

インプラントは、保険診療適用外となります。
患者さまのお口の状況をみながら、ご希望とご予算、スケジュールに合わせてご提案いたします。

インプラント料金一覧

※ 表示はすべて税込金額です。
※自由診療で10,000円以上のお支払いの場合、各種クレジットカードをご利用いただけます。

インプラント料金一覧 単価
1 CT撮影、診断料 1回 22,000円(税込)
2 インプラント 1本 297,000円(税込)
3 インプラント(上部構造) 1本 165,000円(税込)
4 サイナスリフト 1部位 220,000円(税込)
5 ソケットリフト 1部位 110,000円(税込)
6 骨移植 1部位 110,000円(税込)
※症状により費用が異なる場合があります。
7 ソケットプリザベーション 1歯 110,000円(税込)
8 静脈内鎮静 1回 77,000円(税込)
9 手術用ガイド 1式 66,000円(税込)
10 フラップレス 無料
11 All-On-4(上顎) 1式 1,144,000円(税込)
12 All-On-4(下顎) 1式 1,716,000円(税込)
13 インプラントブリッジ 1本 143,000円(税込)
14 テンポラリーインプラント(暫間インプラント) 1本 22,000円(税込)
15 テルプラグ 8,800円(税込)
16 テルダーミス 11,000円(税込)

患者さまへ

大切な歯をもう一度あなたのものに。

インプラント治療は、1950年代にチタンが骨と結合する現象が発見されてから著しく進歩してきました。現在、インプラント治療の臨床成績は飛躍的に向上しています。自分の歯と同様の感覚で、よく噛むことができ、おいしく食べることができるようになれば、患者さまの暮らしのクオリティは格段に向上します。当院では数々の設備と丁寧なコンサルティング、アフターケアで患者さまをお迎えします。お問い合わせ・ご相談をお待ちしています。

インプラント治療のご相談・ご予約はこちらから


ご予約電話番号0438-37-6487|年中無休10時〜20時(最終受付19:30)

フォームからご相談・ご予約を行う場合

ご相談・ご予約フォームはこちら

木更津きらら歯科

住所: 〒292-0835
千葉県木更津市築地1番4 イオンモール木更津2階

木更津きらら歯科