木更津きらら歯科は輝く笑顔のために、精密な歯科矯正治療を提供します。
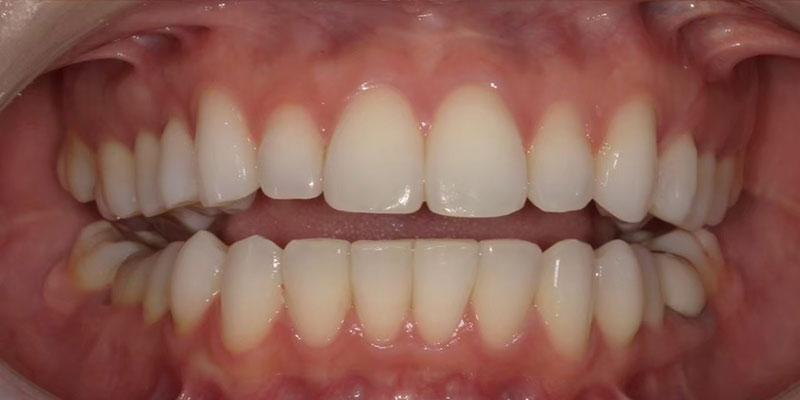
美しく整った歯並びは、笑顔に力を与えます。それだけではなく、正しい咬み合わせは、お口の状態を健康に保つ為にもとても重要なのです。
当院では矯正期間中を通し精密な治療を心をこめて提供し、患者さまとごいっしょにお口の中というプライベートなお悩みに向き合います。
歯並びにお悩みがおありでしたら、ぜひ一度ご相談ください。

木更津きらら歯科は、歯という小さなパーツから患者さまの人生を豊かにするお手伝いをいたします。
正しい歯並びが自信をもたらし、しっかり噛むことがからだ全体や脳にもよい影響を与え、患者さまが美しく変化していく姿を私たちは知っているのです。
どうかひとりでお悩みにならず、ご相談ください。
咬み合わせの改善により機能面でも様々な効果があらわれます。消化、脳の働き、発音、表情筋の動きなどが改善され、将来にわたりあなたを支えてくれるのです。
アダルト世代の方も、あきらめないでください。
正しい咬み合わせできちんと噛むことが、アンチエイジング効果につながることがわかってきました。
大人の歯列矯正は、見た目の美しさを整えるだけでなく、健康な歯を残す役目を果たし、全身の健康をサポートします。
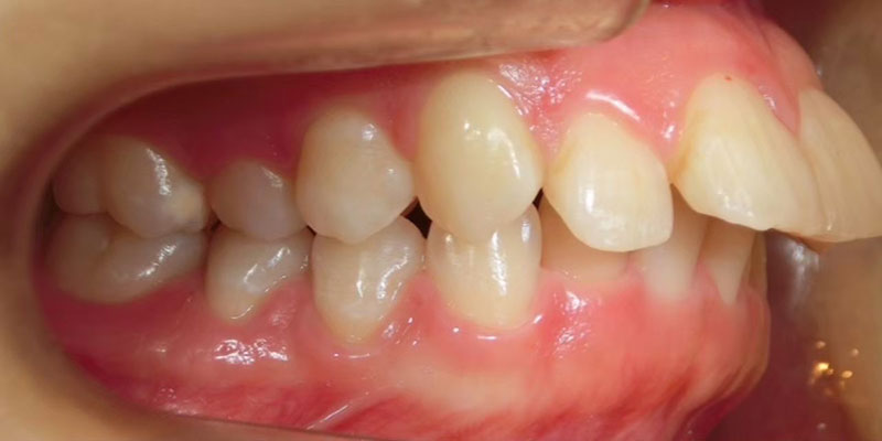
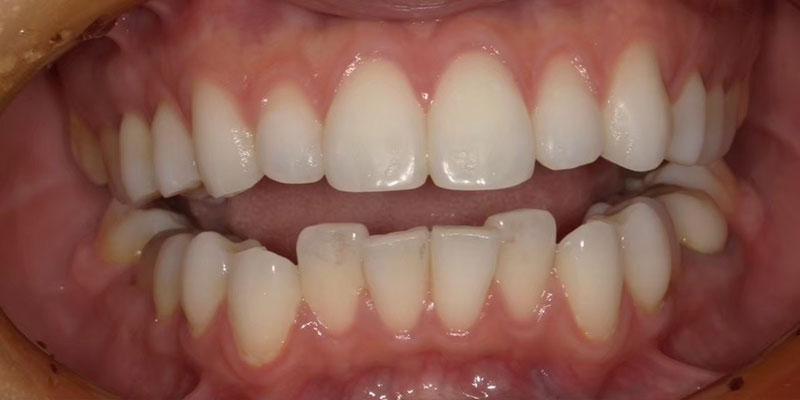
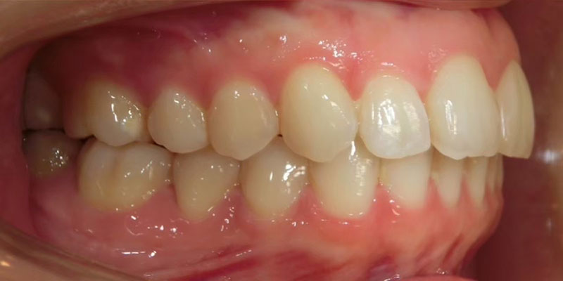
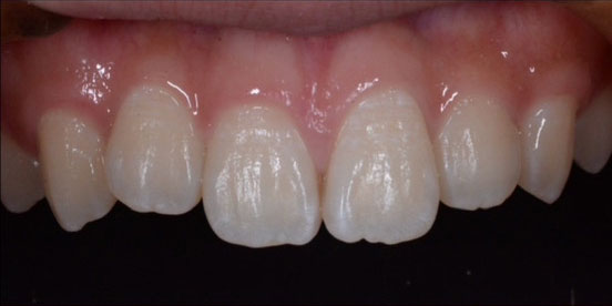
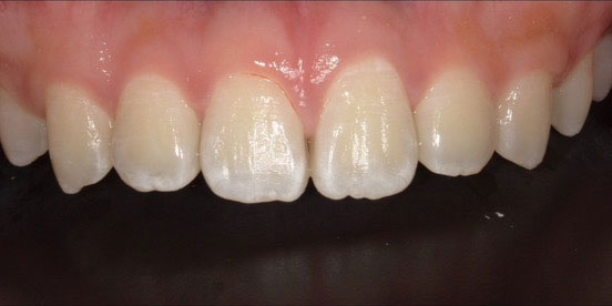
口元のお悩みがある方へ。あなたの咬み合わせはどのタイプ? 鏡を見てチェックしてみましょう。
きれいな歯並びと歯のメインテナンスを心掛ける習慣は、ご両親からお子さまへの価値ある贈り物です。
お子さまの場合、骨の成長期のうちに矯正治療をスタートさせることができれば、期間も短く、少ない負担で歯並びを整えることができます。永久歯を抜かなければならない抜歯矯正を避けることにもなります。
お子さまの歯並びにご心配がおありでしたら、ぜひ一度ご相談ください。
小児矯正は、顎の骨が成長しきっていない歯の生え変わりのお子さまに矯正治療をするものです。
受け口、前歯が出ていたり前歯をしっかり噛みしめられないなどの噛み合わせの不都合や、生えてきた歯の位置が悪く隣の歯がきれいに生えてこない、などの症状のお子さまは、矯正をご検討したほうがよいでしょう。顎の骨の成長をコントロールしながら矯正していくことが将来的に良い歯ならびにつながります。
歯列矯正の基本的な仕組みは歯にブラケットという装置をとりつけ、ブラケットにワイヤーを通して、ワイヤーの力で少しづつ歯を動かすというものです。患者さまのお口の状態やご要望により、様々な矯正治療をご提供いたします。
歯の表側に金属製のブラケットをとりつけ、ブラケットに通したワイヤーで歯を適正な位置に動かす矯正の基本的な方法です。
金属製のブラケットは費用も比較的安価に抑えることができます。目立ちにくいプラスチックやセラミックのブラケットもありますので、ご予算や治療期間を考慮しご紹介、ご提案いたします。
矯正装置を歯の後ろ側(舌側)に装着する矯正方法です。
矯正装置がほとんど目立たず、人の目が気になり矯正に踏み切れずにいる方、見た目が重要なご職業の方に適しています。矯正期間中でも歯の表側がむし歯になりにくいというメリットもあります。
デメリットとしては、矯正装置制作の難易度が高く、費用が高くなる点です。また見た目には目立たないのですが、患者さんご自身の違和感が強く、食事や発音、歯磨きに困難を感じます。
※インビザライン完成物は薬機法対象外であり、医薬品副作用被害救済制度の対象外となる場合があります。
アメリカのアライン・テクノロジー社による「インビザライン」は、治療後のイメージに向かって矯正治療を何段階かにわけてマウスピース(アライナー)を作成し、1~2週間後ごとに交換していきながら、歯並びを整えていくというものです。
世界で1200万人を超える患者さまがインビザラインやインビザライン Goによる治療を受けています。(2022年2月現在)
マウスピース型矯正歯科装置(インビザライン)なら着脱可能で、普段のライフスタイルを我慢する必要はありません。
透明に近いマウスピース型の矯正装置(アライナー)は従来のワイヤー矯正と比較して非常に目立ちにくいものです。
歯の手入れが普段通りにできるため清潔です。「装置がはずれてしまう」というトラブルがありません。食事も楽しめます。
3Dシミュレーションにより、歯の移動過程を事前に確認でき、あらかじめ仕上がりの状態がわかります。
アライナーは歯科矯正用に開発されたプラスチック製で、金属を使っていません。
金属アレルギーの心配がなく、お口の中を傷つける心配もありません。
一度に数回分のマウスピース(アライナー)をお渡しします。ご自身で、段階を追って装着するマウスピースを変えていくのです。こうして通院の回数をおさえることができるため、多忙な方や遠方の方でも治療を受けることが可能です。
自己管理が不可欠。装着時間を守らないと歯が動きません。
また重度の不正咬合など、患者さまのお口の状態によっては使用できないことがあります。

透明に近いマウスピース型の矯正歯科装置(インビザライン)を歯並び全体に装着して矯正治療を行います。
治療後のイメージに向かって矯正治療を何段階かにわけてマウスピース(アライナー)を作成し、1~2週間後ごとに交換していきながら、歯並びを整えていきます。

マウスピース型矯正歯科装置「インビザライン」には、前歯のみの矯正を想定した「iGOシステム」という治療システムが用意されています。
「iGOシステム」は、歯並び全体ではなく、前歯のみの部分的なマウスピースを1~2週間ごとにとりかえながら、歯を動かしていく手法です。費用はインビザライン・フルの半額以下、2ヶ月〜3ヶ月という短期間で効果を期待できます。
当院では、口腔内スキャナー「iTero element(アイテロ エレメント)」を導入しました。
患者さまがご自分の歯並びやかみ合わせを確認し、治療後の歯並びもその場でシミュレーションしてご覧いただくことができます。マウスピースの精度が格段に向上します。
※クリアコレクト完成物は薬機法対象外であり、医薬品副作用被害救済制度の対象外となる場合があります。
スイスのストローマングループによる、マウスピースを使用する矯正システムです。
前歯から1番め~7番目の歯を動かします。抜歯はありません。歯肉の2mm程度までを包むように設計されていて、矯正力が強いのが特徴です。
歯科矯正専用に開発された人工歯根(歯科矯正用アンカースクリュー)を顎の骨に埋め込み、これを支柱にして歯を動かしていきます。このように体内に埋め込まれる器具は、「移植する、埋め込む」ことを意味する「インプラント」の言葉でよく知られています。
歯科矯正用アンカースクリューを用いた矯正では、歯列全体を動かせるので動かしたい歯のために他の歯を抜く必要がありません。顎全体に矯正装置をつける必要がなく、矯正期間中のわずらわしさも軽減されます。期間も短期間で済みます。
当院では日本歯科専門医機構認定・日本口腔インプラント学会指導医、および矯正治療に精通した歯科医師が所属しており、アンカースクリューを埋め込む矯正方法もご提案できます。
1本から数本の歯列を整える矯正方法です。前歯だけ、少し隙間がある、など部分的に歯ならびを治したい場合は部分矯正で治療できることがあります。患者さまの状態にあわせて、前述の方法のいずれか、または複数を組み合わせて治療します。
個人差はありますが、期間が比較的短くてすみ、費用を抑えることもできます。歯並びが全体に乱れていたり、出っ歯や受け口の矯正には不向きです。
一般的な矯正治療、歯列矯正は、健康保険は適用されません。健康保険が適用されるケースは、口蓋裂や口唇裂などの先天異常(23疾患)、外科的な治療が必要な顎変形症となります。
当院の矯正治療は自由診療となり、全額患者さまのご負担となります。患者さまのお悩み、ご要望や、治療方法によって治療費は異なってきます。歯列矯正は費用や治療期間、期間中のお口のケアなど、患者さまのご負担が大きな治療です。ご予算もご相談させていただきながら治療計画をご提案いたします。ご遠慮なくお問い合わせください。
歯列矯正は健康保険の適用範囲外です。全額、患者さまのご負担となる自由診療となります。
患者さまのご要望、ご予算に応じてご提案いたします。
※ 表示はすべて税込金額です。
| 矯正料金一覧 | 単価 | |
|---|---|---|
| 1 | 相談 | 無料 |
| 2 | 診断 | 38,500円(税込) |
| 3 | 成人全額矯正 | 715,000円(税込) ※症状により費用が異なる場合があります。 |
| 4 | 成人全額矯正(舌面から) | 1,100,000円(税込) ※症状により費用が異なる場合があります。 |
| 5 | 小児矯正 | 330,000円(税込) |
| 6 | マウスピース型矯正(歯科)装置(インビザライン)を使った矯正 | 990,000円(税込) ※症状により費用が異なる場合があります。 |
| 7 | マウスピース型矯正(歯科)装置(インビザライン)のiGO システムによる部分矯正 | 363,000円(税込) ※症状により費用が異なる場合があります。 |
| 8 | マウスピース型矯正(歯科)装置(クリアコレクト)を使った矯正 | 715,000円(税込) |
| 9 | インプラント矯正(歯科矯正用アンカースクリューを用いた矯正歯科治療)(1本) | 22,000円(税込) ※症状により費用が異なる場合があります。 |
| 10 | 部分矯正 | 440,000円(税込) ※症状により費用が異なる場合があります。 |
| 11 | 1本矯正 | 165,000円(税込) ※症状により費用が異なる場合があります。 |
| 12 | 調整 | 3,300円~5,500円(税込) |
| 13 | 矯正器具の抗菌処置(コウキングについて詳しくはこちら) | 4,400円(税込) |
| 14 | 便宜抜歯(他院) | 11,000円(税込) |
| 15 | 便宜抜歯(当院) | 8,800円(税込) |