モデルケース

一生モノの自分の歯を “ただ治療するだけ” か、あるいは “生涯を見据えて治療する” かで、大きく明暗が分かれてしまう歯科治療。 生涯安心して健康な歯で暮らしていくために、保険診療または自由診療(保険外診療)による様々な視点から自分のお口を診てもらう事が大切です。 一体どの治療を選択すれば良いのか、「お口のコンサルタント(当院の歯科医師)」による過去の診療ケースを元にご紹介いたします。

過去の診療ケース

当院の歯科医師が、患者さまのお口のコンサルタントとして、今までに対応したケースです。

※記載の費用は治療当時の金額になります。現在のものとは異なる場合がございますので、詳しくは当院までお問い合わせください。

自由診療 セラミックなどの高品質素材・歯茎のクリーニング

歯を治療するだけではなく、「見た目をより美しくしたい!」という患者さまのために、様々な角度からの審美治療をご提案します。

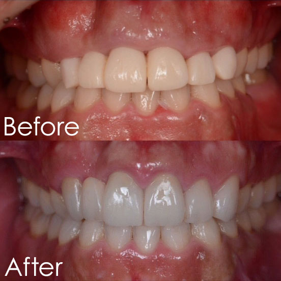
女性Cさん(20代)

お悩み:ブライダル前に来院。前歯の色についてお悩みでした。
治療内容:自由診療のコンポジットレジン修復
治療期間:1日
治療期間:1回
金額:77,000円(税込)
リスク・副作用:歯を削らないといけない、しみる可能性がある

コンポジットレジン修復の特徴:色調が豊富なため、色が合わせやすく自然な色合いを再現することが可能です。

女性Dさん(20代 ※当院スタッフ)

お悩み:前歯の隙間が気になる
治療内容:自由診療のコンポジットレジン充填で、すきまのあった歯ならびを整えました。
治療期間:1日
治療期間:1回
金額:77,000円(税込)
リスク・副作用:歯を削らないといけない、しみる可能性がある

コンポジットレジン充填の特徴:色調が豊富なため、色が合わせやすく自然な色合いを再現することが可能です。

女性Nさん

お悩み:前歯の見た目が気になる
治療内容:審美性を考え前歯にオールセラミッククラウン (100%セラミック(陶器)の被せもの)を選択しました。セラミックの歯を被せるため、少し前歯を削る必要がありました。
治療期間:約2週間
治療期間:2回
金額:143,000円(税込)
リスク・副作用:歯を削らないといけない
保証:7年

セラミック素材の特徴:金属を使用しないため身体にも優しい素材です。ガラス系のクラウンとジルコニア系のクラウンがあります。強度の点では、大日歯に向いているのはジルコニア系のクラウンです。症例や部位によっては、ガラス系クラウンでコストを抑えた施術が可能です。

男性Eさん(30代)

お悩み:歯ぐきの色がくすんでおり、健康的な歯ぐきの色をとりもどしたいとお考えでした。
治療内容:ガムブリーチ法を行いました。メラニン色素の沈着している黒ずんだ部分が、自然に剥がれる薬剤を塗布する方法です。
治療期間:1回10分
金額:22,000円(税込)
リスク・副作用:しみる可能性があります。
効果が実感できるまでに、1週間ほどかかります。
薬剤を塗布した部分が白濁します。

ガムブリーチ法の特徴:はじめに、歯ぐきと歯の境目(歯周ポケット)に沈着している歯垢・歯石をクリーニングし、黒ずんだ部分に薬剤を塗布します。1~2日で、黒ずんだ部分が剥がれてきます。数日後には、健康的なピンク色の歯ぐきに生まれ変わります。

男性Jさん(30代)

お悩み:奥歯の銀歯、詰め物の見た目が気になる。
治療内容:奥歯の銀歯、詰め物にフルジルコニアクラウンを被せました。内側から外側まで、人エダイヤモンドと言われる「ジルコニア」で製作されたクラウンを選択しました。
治療期間:約1ヶ月
治療回数:4回
金額:1本121,000円(税込)
リスク・副作用:ジルコニアが割れる可能性がある
保証:7年

ジルコニアの特徴:セラミック治療の中では強度があり、患者さまに選ばれる機会が増えています。ジルコニアという素材には、歯の質感に似ておりまた内側に金属が使用されないので金属アレルギーの方でも安心して使用できます。色調は16色の中から選択します。耐変色性にも優れている素材で、年月を経ても歯ぐきとの境めが変色せず美しさを保ちます。

男性Gさん(30代)

お悩み:前歯の隙間が気になる
治療内容:前歯の表面を削りセラミックを貼り付けます。
治療期間:約2週間
治療回数:2回
金額:121,000円(税込)×4
リスク・副作用:セラミックの歯を貼り付けるため出っ歯にならないように前歯を削る必要がありました。

女性Mさん(30代)

お悩み:神経が死んでしまった歯の変色が気になる
治療内容:ジルコニアセラミッククラウンを被せました
治療期間:約2週間
治療回数:2回
金額:134,000円(税込)
リスク・副作用:歯を削る必要がある。

男性Cさん(30代カメラマン)

お悩み:前歯の虫歯と空き間が気になる
治療内容:虫歯治療を完了したのち、ラミネートベニアを装着する治療
治療期間:約2週間
治療回数:2回
金額:121,000円(税込)×4
リスク・副作用:セラミックの歯を貼り付けるため出っ歯にならないように前歯を削る必要がありました。

女性Hさん(50代主婦)

お悩み:前歯の変色が気になる
治療内容:ジルコニアセラミックを被せる治療
治療期間:約2週間
治療回数:2回
金額:134,000円(税込)
リスク:前歯を削る必要がある。

女性Aさん(20代会社員)

お悩み:前歯の変色と若干の歯並びが気になる。
治療内容:ジルコニアセラミックを被せる治療。
治療期間:約2週間
治療回数:2回
金額:134,000円(税込)×2
リスク:前歯を削る必要がありました。

女性Fさん(40代主婦)

お悩み:むし歯が気になる。
治療内容:奥歯の詰め物に対するジルコニアのインレー治療
治療期間:約2週間
治療回数:2回
金額:71,500円(税込)×2
リスク:ジルコニアインレーが割れることはありえます。

女性Bさん(20代会社員)

お悩み:歯ぐきの色が気になる。
治療内容:ガムブリーチ法を行いました。メラニン色素の沈着している黒ずんだ部分が、自然に剥がれる薬剤を塗布する方法です。
治療期間:1回10分
金額:22,000円(税込)
リスク・副作用:しみる可能性があります。
効果が実感できるまでに、1週間ほどかかる。
薬剤を塗布した部分が白濁する。

ガムピーリングの特徴:フェノール薬剤のタンパク変性作用により、着色のある上皮膚組織を、メラニン色素を同時に除去する方法です。
薬剤塗布後、ひりひりする感じがすることがあります。
通常1週間程度の治療期間中、歯ぐきが白っぽく白濁します。1週間程度すぎた頃から、健康な歯ぐきの色調がもどってきます。

女性Jさん(10代学生)

お悩み:差し歯の見た目と歯の色と歯茎の色が気になる。
治療内容:歯ぐきの着色に対するレーザー治療、歯の黄ばみに対するホワイトニング、保険の差し歯をジルコニアセラミッククラウンへのやりかえの治療
治療期間:約1ヶ月
治療回数:2回
金額:歯ぐきの着色に対するレーザー治療 11,000円(税込)
セラミック治療 134,000円(税込)
オフィスホワイトニング 49,500円(税込)
リスク・副作用:レーザー治療後、痛みがでることがあります。
ホワイトニング後はしみる可能性があります。

レーザーによるガムピーリングの特徴:レーザーを照射した歯肉は白濁し、2,3日程で剥がれ落ちて、ピンク色の新しい歯肉があらわれます。

女性Nさん(20代モデル)

お悩み:前歯の空き間が気になる。
治療内容:ダイレクトボンディング治療
治療期間:1日
治療回数:1回
金額:33,000円(税込)×2
リスク:取れる事がある。

男性Cさん(30代会社員)

お悩み:歯の色が気になる
治療内容:オフィスホワイトニングで歯の白さをとりもどしてから、ご自分の歯の色にあわせてジルコニアセラミックを被せる治療を行いました。
治療期間:ホワイトニング:1ヶ月、ジルコニア:約2週間
治療回数:ホワイトニング:2回、ジルコニア:2回
金額:オフィスホワイトニング 44,000円(税 込)
セラミック治療 134,000円(税込)
リスク・副作用:ホワイトニング後はしみる可能性がある。ジルコニアセラミックを被せるために歯を削る必要がある。

男性(30代)

お悩み:前歯を綺麗にしたい
治療内容:前歯の審美治療(歯茎の整形とジルコニアオールセラミック)
治療期間:2週間
治療回数:4回(歯茎の整形と抜糸、型取りとセット)
金額:歯茎の整形 27,500円/本×3(税込)
ジルコニア 143,000円/本×6(税込)
リスク・副作用:歯を削る、腫れる可能性、痛みが出る可能性がある

男性(30代)

お悩み:すきっ歯を治したい
治療内容:ダイレクトボンディング
治療期間:1日
治療回数:1回
金額:38,500円(税込・保険適用)
リスク・副作用:外れる事がある

女性(20代)

お悩み:前歯の部分的に白い箇所が気になる
治療内容:自由診療で、アイコンという薬剤を使い歯を削らなくてすむ治療を選択しました
治療回数:1回
金額:1本 38,500円(税込)×2
リスク・副作用:アイコンは患者さまの歯の質などにより効果に個人差があります

女性(30代)

お悩み:前歯の白いのが目立つ
治療内容:白斑消し(ICON)
治療期間:1日
治療回数:1回
金額:38,500円/回(税込)
リスク・副作用:白斑が取れるかどうかは個人差がある

男性(30代)

お悩み:歯ぐきの色がくすんでおり、健康的な歯ぐきの色をとりもどしたいとお考えでした
治療内容:ガムブリーチ法を行いました。メラニン色素の沈着している黒ずんだ部分が、自然に剥がれる薬剤を塗布する方法です
治療回数:1回
金額:22,000円(税込)
リスク・副作用:しみる可能性があります。効果が実感できるまでに、1週間ほどかかります。

男性(30代)

お悩み:歯茎の黒いのが気になる
治療内容:ガムブリーチ法
治療期間:1週間
治療回数:1回
金額:24,200円/本(税込)
リスク・副作用:個人差があるが痛みを伴う

女性(20代)

お悩み:歯ぐきが見えている分量が多すぎる(歯が小さすぎる)とお悩みでした
治療内容:歯冠長延長術を行います
治療期間:1ヶ月
治療回数:抜糸含めて2回
金額:歯肉切除(歯冠長延長術) 1本 27,500円(税込)
リスク・副作用:歯の破折・重度歯周病の場合対応できない場合がある。歯肉腫脹

男性(40代)

お悩み:笑ったときに上唇があがりすぎ、歯ぐきが多く見えてしまう軽度のガミースマイルにお悩みでした
治療内容:歯肉切除術を行い、歯ぐきの上の方の粘膜の一部を切除しました。また歯の一部をセラミック素材で補いました。
治療回数:1回
金額:歯肉切除(歯冠長延長術)1本 27,500円(税込)・ジルコニアオールセラミック 1本 132,000円(税込)
リスク・副作用:術後疼痛、歯肉腫脹

女性(50代)

お悩み:歯並び、歯の色、歯の形が気になる
治療内容:マウスピース矯正、ホワイトニング、歯茎の整形、ジルコニア
治療期間:半年
治療回数:6回
金額:マウスピース矯正 363,000円(税込)
オフィスホワイトニングとホームホワイトニングの併用 49,500円/回(税込)
歯茎の整形 27,500円/本(税込)
ジルコニア 143,000円/本(税込)
リスク・副作用:マウスピース矯正:矯正に伴う痛みと時間
歯茎の整形:歯茎が腫れる可能性・痛みが出る可能性がある ジルコニア:歯を削る
ホワイトニング:白くなる程度は個人差があります、知覚過敏が出ることがあります

女性(20代)

お悩み:歯が短いのが気になる
治療内容:前歯の審美治療(歯茎の整形とジルコニアオールセラミック)
治療期間:2週間
治療回数:4回(歯茎の整形と抜糸、型取りとセット)
金額:歯茎の整形 27,500円/本×6(税込)
ジルコニア 143,000円/本×6(税込)
リスク・副作用:歯を削る、歯茎が腫れる可能性、痛みが出る可能性

男性(40代)

お悩み:前歯を綺麗にしたい
治療内容:前歯の審美治療(歯茎の整形とジルコニアオールセラミック)
治療期間:2週間
治療回数:4回(歯茎の整形と抜糸、型取りとセット)
金額:歯茎の整形 27,500円/本×3(税込)
ジルコニア 143,000円/本×6(税込)
リスク・副作用:歯を削る、腫れる可能性がある、痛みが出る可能性がある

男性(40代)

お悩み:銀歯を白くしたい
治療内容:ジルコニアクラウン(6本)
治療期間:10日
治療回数:2回
金額:726,000円(税込)
リスク・副作用:取れる可能性がある

男性(30代)

お悩み:古くなった差し歯を綺麗にしたい
治療内容:ジルコニア治療
治療期間:1週間
治療回数:2回(型取りとセット)
金額:143,000円/本(税込)
リスク・副作用:取れることがある

女性(40代)

お悩み:前歯の色を綺麗にしたい
治療内容:前歯の審美治療(ジルコニアオールセラミック)、ダイレクトボンディング
治療期間:1週間
治療回数:2回(型取りとセット)
金額:ジルコニアオールセラミック:143,000円/本(税込)
ダイレクトボンディング:38,500円(税込・保険適用)
リスク・副作用:歯を削る

男性(40代)

お悩み:差し歯を綺麗にしたい
治療内容:ジルコニアオールセラミック治療
治療期間:1週間
治療回数:2回(型取りとセット)
金額:143,000円/本×2(税込)
リスク・副作用:取れることがある

女性(30代)

お悩み:前歯を綺麗にしたい
治療内容:ジルコニアオールセラミッククラウン(4本)
治療期間:10日
治療回数:2回
金額:572,000円(税込)
リスク・副作用:歯を削る必要がある、取れてしまう可能性がある

女性(60代)

お悩み:前歯を綺麗にしたい
治療内容:ジルコニアオールセラミッククラウン
治療期間:3週間
治療回数:2回
金額:143,000円(税込)×6
リスク・副作用:歯を削る必要がある、取れてしまう可能性がある

女性(60代)

お悩み:前歯を綺麗にしたい
治療内容:ジルコニアオールセラミッククラウン
治療期間:6週間
治療回数:4回
金額:143,000円(税込)×10
リスク・副作用:歯を削る必要がある、取れてしまう可能性がある

男性(20代)

お悩み:前歯を綺麗にしたい
治療内容:ジルコニアオールセラミッククラウン
治療期間:10日
治療回数:2回
金額:143,000円(税込)×10
リスク・副作用:歯を削る必要がある、取れてしまう可能性がある

男性(30代)

お悩み:奥歯の、過去のむし歯治療の金属性の詰め物が気になる
治療内容:お口の中にある金属の詰め物を、セラミックインレーに変更し、美しい口元に整えました。抜歯、セラミックインレー(詰め物)、ジルコニアクラウン(被せもの)を選択しました。
治療期間:2週間
治療回数:2回
金額:55,000円(税込)
リスク・副作用:セラミックインレーは強い衝撃を受けると欠ける可能性があります。ジルコニアクラウンは硬度が高いため噛みあわせる歯を傷つける可能性があります。また、セラミックに比べて自然歯のような色の再現性に劣ります。

男性(30代)

お悩み:歯の形が気になる
治療内容:ラミネートベニア
治療期間:2週間
治療回数:2回
金額:110,000円(税込)
リスク・副作用:前歯の噛み合わせによって装着できない可能性があります。

男性(20代)

お悩み:前歯の隙間が気になる
治療内容:ラミネートベニア
治療期間:1週間
治療回数:2回(型取りとセット)
金額:121,000円/本×2(税込)
リスク・副作用:歯を少なからず削る

女性(20代)

お悩み:前歯の隙間が気になる
治療内容:ラミネートベニア
治療期間:1週間
治療回数:2回(型取りとセット)
金額:121,000円/本(税込)
リスク・副作用:歯を少なからず削る

男性(30代)

お悩み:前歯を綺麗にしたい
治療内容:ラミネートべニア(2本)
治療期間:10日
治療回数:2回
金額:242,000円(税込)
リスク・副作用:歯を削る

女性(40代)

お悩み:前歯の見た目が気になる
治療内容:メタルボンドのクラウンを選択しました
治療期間:2週間
治療回数:2回
金額:110,000円(税込)
リスク・副作用:金属の上にセラミックを焼き付けているので、歯ぐきとの境界にわずかに金属が透けて見えることがあります

女性(50代)

お悩み:銀歯が気になる
治療内容:ダイレクトボンディング
治療期間:1日
治療回数:1回
金額:38,500円(税込)
リスク・副作用:外れる事がある

男性(20代)

お悩み:前歯の虫歯を自費で綺麗にしたい
治療内容:ラバーダムを用いてダイレクトボンディング
治療期間:1日
治療回数:1回
金額:38,500円(税込)
リスク・副作用:外れる事がある

男性(30代)

お悩み:歯の形と色が気になる
治療内容:ジルコニアオールセラミッククラウン
治療期間:10日
治療回数:2回
金額:143,000円(税込)×20本
総額 2,860,000円(税込)
リスク・副作用:歯を削る必要がある

ホワイトニング

女性(40代)

お悩み:歯の自然な白さをご希望でした
治療内容:オフィスホワイトニング
治療回数:1回(90分)
金額:オフィスホワイトニング 49,500円(税込)
リスク:白くなる程度は個人差があります。知覚過敏が出ることがあります。

男性(50代)

お悩み:歯が黄色い
治療内容:オフィスホワイトニング5回とホームホワイトニング
治療回数:10回
金額:オフィスホワイトニング 49,500円(税込)
※ただし、1年以内の2回目以降は半額
ホームホワイトニング 38,500円(税込)
※ただしオフィスとホーム併用は10000円引き
総額261,250円(税込)
リスク:しみることがあります

女性(40代)

お悩み:歯を白くしたい
治療内容:オフィスホワイトニング3回とホームホワイトニング
治療回数:5回
金額:オフィスホワイトニング 49,500円(税込)
※ただし、1年以内の2回目以降は半額
ホームホワイトニング 38,500円(税込)
※ただしオフィスとホーム併用は10000円引き
総額137,500円(税込)
リスク:しみることがあります

男性(50代)

お悩み:他の歯科医院ではホワイトニングを断られたが歯を白くしたい
治療内容:オフィスホワイトニング6回とホームホワイトニング
治療回数:6回
金額:オフィスホワイトニング 49,500円(税込)
※ただし、1年以内の2回目以降は半額
ホームホワイトニング 38,500円(税込)
※ただしオフィスとホーム併用は10000円引き
総額162,250円(税込)
リスク:しみることがあります

一般歯科・歯周病 むし歯治療/歯周病治療/欠損治療

男性Fさん(20代)

お悩み:欠損している歯の隙間が気になる。
治療内容:比較的歯を削らなくてもすむ接着性ブリッジの治療
治療期間:約2週間
治療回数:2回
金額:165,000円(税込)×2
リスク・副作用:歯を少し削る必要があります。

女性Iさん(40代)

お悩み:歯が長く見えることが気になる
治療内容:粘膜(歯肉)を移植し、歯ぐきのラインを整える治療を行いました。移植した歯肉は、お口の中の上の内側、上顎の口蓋部分から採取しました。
治療期間:1ヶ月
治療回数:2回
金額:88,000円(税込)
リスク:外科処置となるため術後は痛みと腫れが出る可能性があります。また神経麻痺が出る可能性があります。

上顎の口蓋部分の粘膜の移植の特徴:移植された歯肉も、粘膜を切り取った部分も、数か月でしっかりとした歯肉になりますので安心です。当院ではこのような外科処置にも対応しています。

女性Lさん(40代)

お悩み:奥歯がグラグラする。
治療内容:重度歯周病(部分的骨欠損)に対する歯周病治療(再生療法/エムドゲイン)
治療期間:1ヶ月
治療回数:2回
金額:88,000円(税込)
リスク:外科処置となるため術後は痛みと腫れが出る可能性があります。また神経麻痺が出る可能性があります。

再生療法/エムドゲインの特徴:歯周組織再生用材料を塗布する治療で歯周組織が再生されます。

男性Mさん(70代)

お悩み:うまく噛めない、口臭がある、見た目が気になる。
治療内容:重度歯周病に対する歯周病治療・欠損治療(義歯作成)・口臭治療。保険診療の範囲内で、義歯を作製し、改善しました。
治療期間:約2ヶ月
治療期間:8回
金額:保険診療

男性Kさん(30代)

お悩み:歯の痛み・歯ぐきの腫れ
治療内容:歯内療法(根の治療)
治療期間:週1回で3週間
治療回数:3回
金額:保険診療
リスク:膿が大きいケースは抜歯になる場合があります。

女性Mさん(60代)

お悩み:保険診療で作製した義歯の金属のバネが目立って気になる
治療内容:金属のバネのない部分義歯(自由診療)の作製
治療期間:週1回で3週間
治療回数:3回
金額:134,000円(税込)
リスク・副作用:バネのかかる歯に負担がかかる(保険診療でも同じ)

女性Cさん(20代)

お悩み:前歯の色が気になる
治療内容:保険診療内で前歯の色を自然に白くしました
金額:1本 16,500円(税込)×2
リスク:欠けたりすることがあります

男性Aさん(50代)

お悩み:日頃のケアがうまく出来ていなかったために、お口の中の状態が悪化し歯周病、むし歯が進行していました
治療内容:重度歯周病、むし歯を治療してから、矯正治療・インプラント治療にすすみました
治療期間:約3ヶ月
治療回数:12回
金額:保険診療(歯周病治療)
リスク:歯周外科も併用しております

男性Sさん

お悩み:前歯のむし歯が、歯と歯の間から中へと広がり、黒く透けて見えるようになってしまった
治療内容:むし歯部分を削り、保険診療のコンポジットレジン充填を行いました
金額:保険診療
リスク:保険診療の場合、材料の選択や対応できる症例に限りがあります。今回のケースは、保険診療の範囲できれいに治療ができました

インプラント 入れ歯やブリッジに代わる人工歯根

男性Aさん(50代・自営業)

重度歯周病に対する歯周病治療・矯正治療・インプラント治療
このケースの歯周病治療は保険診療。矯正治療およびインプラント治療は保険外診療。
詳しい治療内容をみる

女性Bさん(20代・大学生)

お悩み:交通事故による前歯の欠損が気になる
治療内容:インプラント治療
治療期間:3ヶ月(5回〜7回)
金額:CT撮影、診断料 16,500円(税込)
手術用ガイド 61,500円(税込)
インプラント 286,000円(税込)
上部構造 134,000円(税込)
リスク・副作用:外科処置となりますので腫れや痛みが出る可能性があります。また治療の期間が長くかかります。
保証:上部構造5年、インプラント体10年

男性Nさん(30代会社員)

お悩み:交通事故による前歯の欠損が気になる
治療内容:インプラント治療
治療期間:3ヶ月(5回〜7回)
金額:CT撮影、診断料 16,500円(税込) 手術用ガイド 61,500円(税込) インプラント 286,000円(税込) 上部構造 134,000円(税込)
リスク:外科処置となりますので腫れや痛みが出る可能性があります。また治療の期間が長くかかります。
保証:上部構造5年、インプラント体10年

男性Sさん(50代会社員)

お悩み:歯がないところが多く食事ができない
治療内容:残せない歯の抜歯を行い、インプラント治療を行いました。
治療期間:7ヶ月
治療回数:10回
金額:CT撮影、診断料 16,500円(税込)
手術用ガイド 61,500円(税込)
[上顎]インプラント体286,000円(税込)x8本、上部構造134,000円(税込)✕14本
[下顎]インプラント体286,000円(税込)✕6本134,000円(税込)×12本
リスク:外科処置となりますので腫れや痛みが出る可能性があります。また治療の期間が長くかかります。
保証:上部構造5年、インプラント体10年

女性Oさん(70代)

お悩み:義歯(入れ歯)が合わず、噛むことができない
治療内容:オーバーデンチャー(インプラント義歯)
治療期間:3ヶ月
治療回数:7回
金額:CT撮影、診断料 16,500円(税込)
手術用ガイド制作 60,500円(税込)
インプラント 286,000円(税込)×4
インプラント義歯 440,000円(税込)
リスク:外科処置のため、腫れと痛みを伴う事があります
保証:上部構造5年、インプラント体10年

女性(70代)

お悩み:入れ歯が合わなくて噛めない
治療内容:インプラント治療
治療期間:4ヶ月
治療回数:6回
金額:3,223,000円(税込)
リスク:外科処置のため、腫れと痛みを伴う事があります
保証:上部構造5年、インプラント体10年

女性(70代)

お悩み:入れ歯が合わなくて噛めない
治療内容:インプラント(インプラント5本・上部構造6本)
治療期間:4ヶ月
治療回数:6回
金額:2,365,000円(税込)
リスク:外科処置のため、腫れと痛みを伴う事があります
保証:上部構造5年、インプラント体10年

女性(70代)

お悩み:人前で口を隠さず笑いたい
治療内容:インプラント5本、ジルコニアオールセラミッククラウン12本
治療期間:6ヶ月
治療回数:15回
金額:4,015,000円(税込)
リスク:インプラント:外科処置のため、腫れと痛みを伴う事があります
ジルコニアオールセラミッククラウン:歯を削る
保証:上部構造5年、インプラント体10年

口腔外科 親知らずの抜歯/顎関節症/粘膜や舌の疾患

男性

お悩み:左下の親知らずが腫れて痛い
治療内容:左下の埋まっている親知らずの抜歯
治療期間:1週間
治療回数:2回(抜歯と抜糸)
金額:4,000円強(保険適用)
リスク:腫れる可能性、痛みが出る可能性がある

矯正歯科 歯の矯正

男性Hさん(10代)

お悩み:歯並びが気になる
治療内容:マルチブラケットによる矯正歯科治療
治療期間:2年
治療回数:8回
金額:精密検査+診断費 33,000円(税込)、治療費 770,000円(税込)、毎月の調整料 3,300円~5,500円(税込)
リスク:治療期間が比較的長くかかります。治療期間中に、痛みがでることがあります。

男性Aさん(50代・自営業)

重度歯周病に対する歯周病治療・矯正治療・インプラント治療
このケースの歯周病治療は保険診療。矯正治療およびインプラント治療は保険外診療。
詳しい治療内容をみる

女性(20代)

お悩み:歯並びが気になる
治療内容:マウスピース矯正
治療期間:3ヶ月
治療回数:3回
金額:363,000円(税込)
リスク:痛み、時間がかかる

女性(60代)

お悩み:出っ歯が気になる
治療内容:マウスピース矯正
治療期間:2ヶ月
治療回数:24回
金額:990,000円(税込)
リスク:痛み、時間がかかる

女性(30代)

お悩み:前歯の歯並びが気になる
治療内容:マウスピース矯正
治療期間:3ヶ月
治療回数:4回
金額:165,000円(税込)
リスク:痛み、時間がかかる

患者さま一人ひとりに合わせた、安心・安全・そしてより良い治療提案を心がけております。

当院では、保険診療でも自由診療(保険外診療)でも幅広い治療内容の中から、患者さまのスケジュールとご予算に合わせた形で治療いたします。
「お金がかけられないので、保険診療内のみで対応してほしい」「自由診療(保険外診療)でも良いので、歯がキレイになる治療をしてほしい」など、患者さまによって治療の要望は様々です。当院では、患者さまの声を聞きながら、患者さまご自身が納得して頂ける治療を提案します。
次に、当院の患者さまに聞かれる、よくある質問をまとめました。来院される際の参考にして頂ければと思います。