お悩みを解決し、あなたの本来の美にもうひと手間をかけてみませんか。
口元にコンプレックスを感じていませんか?
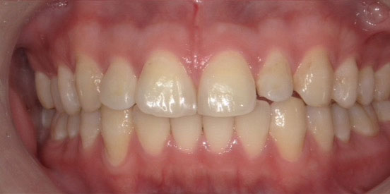
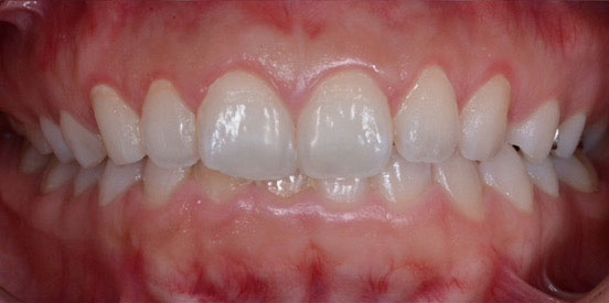
自由診療では、むし歯の治療で施した銀歯や不揃いな歯を美しく整えます。
ホワイトニングは、表面の汚れを落とすクリーニングとは異なり、歯そのものを白くするケアのことです。エステやお休み前のスキンケアのような感覚で、あなたの本来の美にもうひと手間をかけてみませんか。
美しい口元で自信をもって微笑んでください。あなたの人生が変わります!
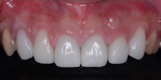
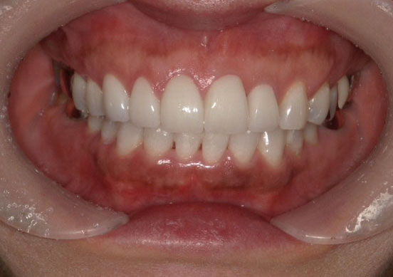
自然な白さを持つセラミック製の歯を被せる施術です。
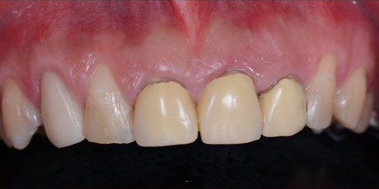
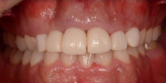
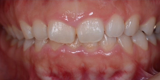
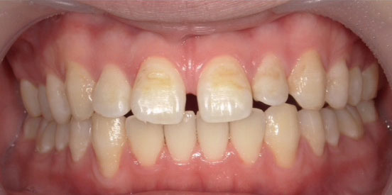
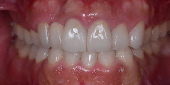
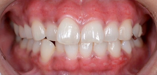
セラミック治療は、むし歯の治療で施した銀歯や不揃いな歯を、セラミック素材の歯で補う治療です。セラミックは、自分の歯に近い自然な色合いを再現でき、金属の素材よりもからだに負担が少ないという優れた利点を持っています。
むし歯の治療の時だけでなく、過去に治療した銀歯や、歯の色が気になる方は、セラミック治療で自然で美しい歯並びに修復できます。部分的な歯列矯正に対応できる場合もあります。
むし歯などの治療のあと、歯に被せるものをクラウンと呼びます。保険適用範囲内ではプラスチック樹脂や金属(いわゆる銀歯)の素材を使用します。プラスチック樹脂では変色が起こったり耐久性に劣る面があり、銀歯は審美的に美しくありません。当院では、耐久性や審美性に優れ、生体に優しいセラミックを使用します。セラミックには様々な素材があります。ご自身の歯になじむ自然な美しい色合いや、耐久性、体への親和性を考えて、素材を選ぶことができます。
現代では金属アレルギーやアトピー(アレルギー性皮膚炎)の患者さんが、年々増加しているのが現状です。口内炎などのお口の中の症状が何度も再発してしまう方、手・足・全身に湿疹などの症状が繰り返される場合、金属アレルギーを疑うことも必要です。
歯科で使用される材料(銀歯など)は安全が確認されているものの、アレルギー原因となっているケースもあります。体に優しい素材について、ご遠慮なくご質問ください。
自由診療のホワイトニングとは、歯の表面を削ったり溶かしたりすることなく、歯そのものの色を明るくすることです。過酸化水素という薬剤を塗布し、着色物質を分解することによって自然な白さをとりもどします。
アメリカを発祥の地とするホワイトニングは、現在ではビジネスパーソンの身だしなみとして、美しさの表現として、アンチエイジングの手段として、多くの方に広く求められています。
当院で治療を行うオフィスホワイトニングと、ご自宅でマウスピースを装着していただくホームホワイトニングがあります。
歯ぐきの健康的な美しさは、歯の美しさと同様に重要です。歯の外側は半透明のエナメル質でおおわれています。透明感のある歯が清潔感のある美しさを表すのですが、ホワイトニングで歯の白さをとりもどしても、その土台となる歯ぐきの色がくすんでいたら効果は半減です。また状態のよくない歯は歯周病やその前段階の歯肉炎の可能性もあります。歯ぐきの状態にも意識を向けてケアしていきましょう。
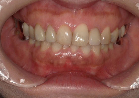
美しいとされる口元には、笑ったときの歯と歯ぐきの見える部分のバランスが大切です。笑ったときに歯ぐきが大きく見えてしまう口もとを「ガミースマイル」といい、それも個性ではあるのですが、お悩みの方もいらっしゃることでしょう。原因は様々ですが、当院では患者さまにあった施術をご提案します。
歯ぐきや歯槽骨を削ることによって、歯の露出部分を増やします。
歯ならびはきれいだが、唇を引き上げる筋肉や軟組織の動きが大きすぎる場合には、外科手術で歯ぐきの上方の目立たない部分の歯肉を切断したり除去するといった外科手術を行います。軽度のガミースマイルの方に適しています。
重度のガミースマイルを矯正したい方に適しています。上顎骨を水平に切って、上の歯全体を上方に引き上げる手術です。コンサルティングのうえ、大学病院をご紹介します。
リスク・副作用:骨を大きく削るため、術後の腫れ・痛みが強く出ます。移動する方向と量によって鼻の変形および気道の閉塞が起こる場合がある。
費用:大学病院へ紹介しますので、各大学病院へお問い合わせください。

歯ぐきの歯に接する部分の表面が歯のカーブに沿って丸みを帯びていると、歯ならびがよく見え、表情に柔らかい印象を与えます。歯ぐきが見えている分量が多すぎたり少なすぎたりして歯ならびのバランスが悪く見える場合や、歯ぐきと歯のさかいめが直線的だったり不揃いだったりするようなケースでは、歯ぐきのラインを整えてあげるだけで、歯ならびがよく見え、お顔の表情が柔らかいものになります。